20代女性 ハイボールが好きなお客様
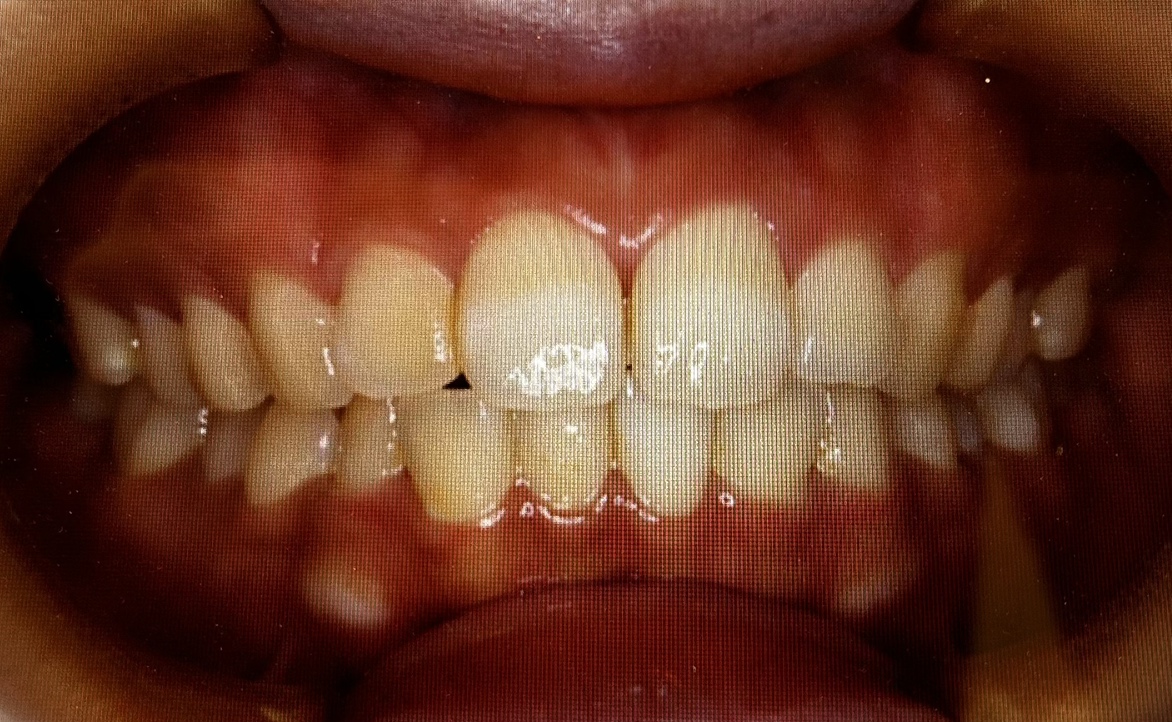
初診時シェード 右上1 C3 右下3 A4
目標シェードは020の歯の白さになりたいと来院された。
施術内容
パーフェクト美白プラン(3ヶ月分)(税込168,300円)
・オフィスホワイトニング6回分
・クリーニング
(スタンダードケア)1回分
・マウスピーストレー上下・付属品
・ホームジェル5日分✕18本
・NBベリーホワイト1本
・NBトゥースペースト1本
シェードの変化
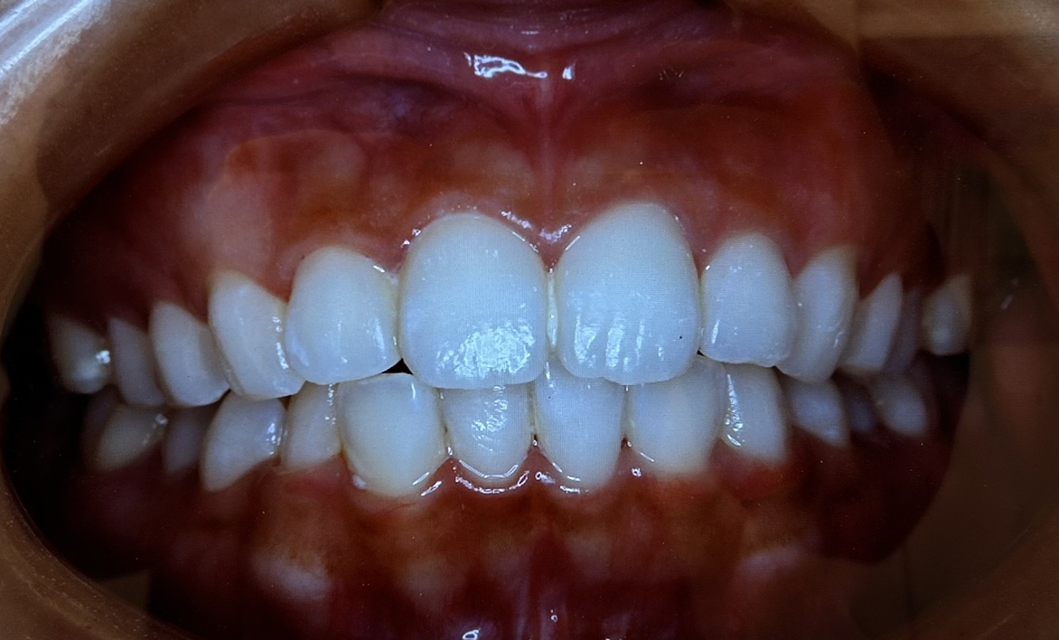
- 初診時
- ホワイトニング後
初診時シェード右上1 C3 右下3 A4
目標020
4回目のオフィスホワイトニングでは、右上1 040 右下3 B2
ホームホワイトニング16%毎日2時間〜3時間を行なっていた。
6回目のオフィスホワイトニング時には右上1030右下3 040
コメント
初回カウンセリング時、デュアルホワイトニングを理解され、毎日ホームホワイトニングをしっかり徹底されていた。
そのため順調に色も上がり、色味キープできている。
今後はメンテナンスの必要性をお伝えしていく。
